活体采卵仪EVO美国原装进口

吉彩网产品名称:活体采卵仪EVO美国原装进口

吉彩网产品型号:美国EVO

使用对象:牛、马等

使用范围:大型牧场、科研单位、动物采精公司

产品参数
SPECIFICATIONS 参数规格型号 EVO 适应条件 防水、防尘、防摔击
重量 2.8kg 显示器 8.5英寸屏幕、反眩光LCD屏,SVGA分辨率、720 p HDMI,NTSC / PAL模拟视频
探头 可换探头,可配备:128阵元(3-6MHZ)背膘眼肌探头(30cm深度)
128阵元微凸活体采卵(OPU)高效探头(5-10MHZ)
128阵元(6-14MHz)高频线阵探头、128阵元(5-9MHZ)直肠探头、
128阵元(5-8MHZ)直肠探头、128阵元凸阵(2-6.4MHZ)直肠探头、
128阵元微凸探头(6-10MHZ)、128阵元(2-6.4MHz)大凸探头、
128阵元小动物专用变频微凸探头(4-9MHZ 可变)、
128阵元小动物专用变频微凸探头(8-10MHZ 可变)
探头扫描方向可变。
扫描测量
距离测量无限的卡尺集
周长连续区域
快速测量的网格选项
触摸板导航
计算表
屏幕上的文本注释和箭头
并排比较双重图像特性
肌腱计算:病变︱差异︱变化。
心脏计算:FS︱LA /AO
图像储存
480帧视频内存(60帧/秒 帧频记录)
图像可以伴随有音频标签存储
静态图像可以从电影中截取存储
从保存的图像中测量和计算
连接
USB 2.0图像存储和查看;
无线WiFi连接和蓝牙连接
可无线连接在手机、IPad同步显示图像
显示模式 B, B+M,M, PD,Color, PWD 引导器 可使用I.C.E探头引导器
快速启动 快速启动的特点 自动感应调节参数功能 根据坏境自动调试参数、自动优化图像(自动调节增益和片段增益TGC)
超声类型
数字超声
产科软件
完整的患病动物图像管理软件,可自定义
兽医专业设置,软件可升级。
储存功能 可存储图像和视频 内存 4G内存可存储1000张图像
键盘 密封的LED背光键盘 图像注释 可标注存储图像
电池 高效锂电池,电池可连续3个小时以上工作独立的外部电池充电器;
交流电源适配器充电或操作;输出:15V DC 4A
图像处理 组织谐波、帧相关、斑点抑制、伽马校正等
尺寸  9 x 8.5 x 3 英寸      22.9 x 21.5 x 7.6 cm 引导器 可使用I.C.E探头引导器
其他应用应用 本产品可用于动物背膘、眼肌面积测定,OPU活体采卵的应用、
小动物检查、动物园动物检查、海洋馆动物检查、马肌腱检查以及各种动物的常规检查的应用。
用途 兽医,牛,马,宠物(小动物),猪,外来物种,特种动物、海洋动物和小反刍动物等
储存和运输环境 -20° to 50° C 保修 1年保修期
 

产品结构
高清牛马活体采卵仪细节展示
产品功能
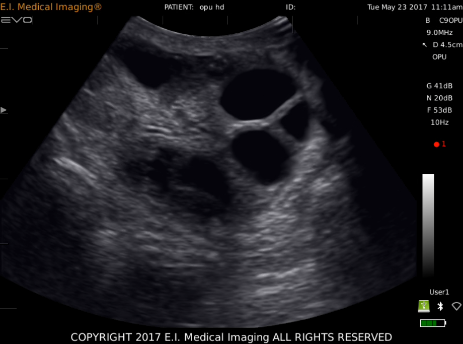
产品影像图
  • 牛卵巢卵泡

  • 牛卵巢卵泡

  • 马活体采卵

使用方法
进口OPU活体采卵仪B超设备美国EVO,专业应用于动物活体采卵,是一款专业的牛马用活体采卵B型超声设备.
牛活体采卵方法:
1、采卵之前,母牛站立保定,用8mL浓度为2%的里多卡因对牛进行硬膜外腔麻醉。操作人员对牛进行直肠检查,并掏净直肠内的粪便,清洗外阴部,将带有采卵针的探头插入到阴道深部,到达阴道穹隆后根据所要穿刺的卵巢的位置把探头放到穹隆相应的一侧。
2、操作人员一手拿探头一手通过直肠对卵巢进行牵引,把卵巢牵引到贴在探头上,使得我们能在EVO显示屏上清楚的看到卵巢,根据图像区分卵泡和CL,调整B超探头和卵巢的位置使监视器上卵泡位于穿刺针直线的延长线上时,推进穿刺针对卵泡进行穿刺.同时,用脚踏开关控制真空泵抽取卵泡液,真空泵的压力在60~80mm汞柱之间调整。
3、从监视器上可以观察到被抽取卵泡液和卵泡开始缩小,变得不规则,黑色的影像变成了亮片,直到卵泡在图像上消失,退出穿刺针,再对第二个卵泡进行穿刺,抽取卵泡液,直到该侧卵巢上2ram以上的卵泡被穿刺完后,调整探头以相同的方法对另一侧卵巢的卵泡进行穿刺。最后,所有符合条件的卵泡都被穿刺完后,用含有肝素的PBS液冲洗采卵针及导管,冲洗液也方入收集管。

牛马活体采卵耗材
配置
高清活体采卵仪配置
售后服务
  • 吉彩网注意:非正常使用自行拆机造成的损坏不在保修范围内。

  • 提示:请妥善保管你的保修卡和购买凭据以备保修之用。

  • 吉彩网产品自购买日起90天内有质量问题包换新机,一年内凭保修卡维修。


500505百万文字论坛综合资料-500308百万文字论坛-780790百万文字论坛红字-798790百万文字论坛下载-500505百万文字论坛雷锋版 天天中彩票-Welcome首页 乐盈VI 佰富彩-welcome 佰富彩-安全购彩 98彩票|官方网站 E乐彩-首页 快盈VIII-welcome