猪用B超机在现代化猪场的批次化管理中发挥着重要作用。随着养殖业向规模化、科学化、精细化方向发展,猪场对生产效率、健康管理和疾病预防的要求不断提高。B超技术作为一种高效的非侵入性检测手段,广泛应用于猪群的怀孕检测、繁殖监控等环节,在批次化管理中发挥着至关重要的作用。

猪用B超机的***常见应用之一是怀孕检测。在批次化管理中,猪场需要对每批母猪的繁殖情况进行准确跟踪。B超能够在配种后的20天左右进行怀孕检测,帮助养殖者及时确认母猪是否成功受孕,避免不必要的重复配种。
此外,B超还能监测胎儿的数量和发育情况吉彩网。对于多胎妊娠的母猪,B超能够清晰显示胎儿的数量,帮助养殖者采取适当的减胎操作,降低母猪的妊娠风险,确保母猪和胎儿的健康。
通过B超进行胎儿发育监测,猪场能够实时掌握每一只母猪的妊娠状况。在批次化管理中,每批猪群的管理周期固定,B超能够帮助养殖者精准把握母猪的分娩周期,提前做好相应的准备工作,确保分娩过程顺利进行。
此外,B超可以有效识别一些可能影响繁殖的结构异常,如子宫炎症、卵巢囊肿等,帮助早期发现健康问题,减少繁殖风险,提高母猪的繁殖性能。
吉彩网 批次化管理要求猪场精细管理每批次的猪群,确保不同批次的猪只在不同阶段得到***优管理。B超技术提供了对猪群的精准数据,养殖者可以根据检测结果调整饲养、疫苗接种、分群等措施。例如,对于怀孕母猪,可以根据胎儿的数量和发育情况,为其提供特定的营养和饲料配方,从而提高整体繁殖效率。
在多个批次的猪群管理中,B超帮助养殖场优化资源配置,避免因过度饲养或管理不当导致资源浪费。
批次化管理要求猪场在多个周期内精确控制每批猪群的生长和出栏时间。通过B超技术,猪场能够对每个批次的怀孕母猪进行及时检测和监控,确保种猪的健康和生产性能。在每批猪群的生产周期中,B超帮助养殖者合理安排配种时间,提高配种的成功率,减少不必要的资源投入,从而降低运营成本。
对于健康的种猪,B超能够帮助养殖者确定其***适合的配种周期,进一步提高猪群的繁殖率,进而提升整体生产效益。
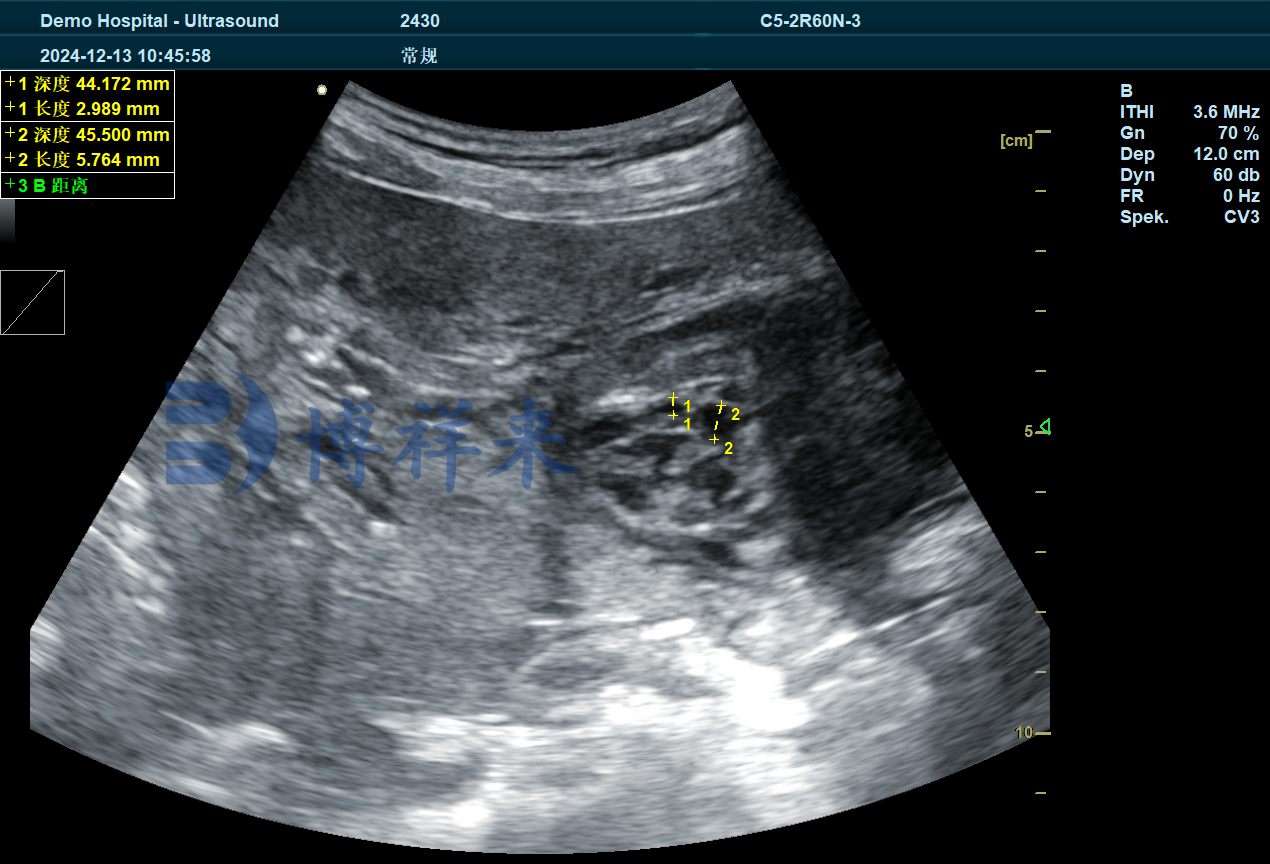
下面超声图像是使用 BXL-DZ20 配合大凸探头检测的母猪卵巢发育情况超声图像

虽然B超主要用于怀孕检测和胎儿发育监控,但它也可以在一定程度上发现繁殖器官的异常。例如,B超能够识别子宫炎症、卵巢囊肿等健康问题,为疾病预防和早期干预提供参考。尤其在批次化管理中,定期使用B超对母猪进行健康检查,有助于及早发现潜在的健康问题,采取针对性治疗,确保猪群的整体健康水平。
然而,需要注意的是,B超技术并不是用来进行常规的疾病诊断,猪场仍需依赖血液检测、PCR检测等手段,结合B超检测结果进行全面的健康管理。
现代猪场的管理越来越依赖于信息化手段。B超检查结果可以及时录入猪场的管理系统,成为数据化管理的一部分。通过积累每批次猪群的B超数据,养殖者能够追踪猪群的生长情况、健康状况和繁殖周期,为猪场的管理决策提供科学依据。
在批次化管理中,这种信息化管理可以帮助猪场实现精准的生产安排、疫苗接种计划和资源调配,提高整体运营效率。
猪用B超机在批次化管理中发挥着越来越重要的作用,尤其在繁殖管理、资源优化和健康监控方面。通过精准的怀孕检测和胎儿发育监控,B超技术帮助猪场实现高效的批次化管理,提升生产效益,降低运营成本。同时,B超还能在一定程度上发现繁殖器官的异常,帮助猪场进行疾病预防和早期干预,确保猪群的整体健康水平。
随着养殖业不断向精细化、信息化管理迈进,猪用B超机将成为现代化猪场管理中不可或缺的工具之一,帮助养殖者应对日益严峻的生产挑战。