当前位置:主页 > 新闻动态 >
猪卵泡检测B超机:技术、优势与行业需求
来源:未知|发布时间:2025-06-26 10:09

一、什么是猪卵泡检测B超机

猪用B超机是一种专业兽用超声设备,采用B-mode(二维)超声技术,配合高频探头(如3.5 MHz、5 MHz或7.5 MHz),主要用于监测母猪卵泡发育、估测排卵时间、早孕检测及子宫健康评估。

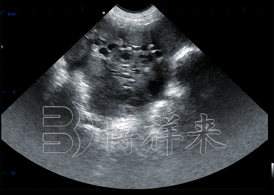
猪卵泡超声影像

 

二、测猪卵泡有哪些核心优势?

1. 非侵入式、高效无创

实时监测卵泡直径(如识别成熟卵泡 ≥ 7 mm,排卵前期卵泡形态的变化),对母猪无应激,无需给药

2. 精准掌握排卵窗口,提升配种成功率

卵泡从7‑9 mm到成熟状态仅需短短几天,通过B超检测可精准判定排卵期,合理安排人工授精或配种时间

3. 提前识别生殖问题,降低养殖风险

可发现卵巢囊肿、异常卵泡、子宫积液及炎症等,通过早期干预,减少不孕、流产、滞产及淘汰率。

4. 提前断定空怀,减少非产天数

通过监测黄体(CL)与卵泡,及早识别未受孕母猪并及时重新配种,缩短繁殖周期

5. 支撑规模化数据管理与智能养殖

 

标准化B超图形数据(配合灰度分析、体况评分等),助力建立机器学习模型,推动智慧农场发展

高清猪卵泡检测仪

三、如何进行猪卵泡检测?

1、设备选择:推荐频率3.5–7.5 MHz的兽用B超机。

2、操作流程:略去毛发、涂耦合剂 → 探头放置于腹侧乳头后部 → 扫描观测卵泡图像 → 冻结测量直径。

3、专业解读

  • 卵泡 < 5mm → 小卵泡期;
  • 7–9mm → 排卵前期成熟;
  • 10mm → 接近排卵状态。

4、连续监测:建议隔1–2天检测一次,观察卵泡从小到成熟并消失的变化,判断排卵或不孕。
 

四、为什么规模化养殖场急需猪卵泡检测B超机

 

  • 提升生产效率:精准排卵控制助力高留猪率与高繁殖率。
  • 减少空怀期:缩减非产天数,提升产房利用率。
  • 降低疾病率:早期发现病理状态,保障群体健康。
  • 数据驱动决策:结合数字农业,实现标准化、可追溯的繁殖管理模式。
  • 提高经济收益:缩短生长周期、提升窝产数,对养殖场利润有显著促进
猪卵泡检测B超机是当前规模化养猪场提升繁殖效率、实现精准管理的重要手段。通过对卵泡发育、排卵时点和子宫状态的实时监测,既能减少空怀周期、降低病理风险,又可为人工授精提供科学依据,是实现智慧养殖的关键技术设备。
推荐阅读

500505百万文字论坛综合资料-500308百万文字论坛-780790百万文字论坛红字-798790百万文字论坛下载-500505百万文字论坛雷锋版 天天中彩票-Welcome首页 乐盈VI 佰富彩-welcome 佰富彩-安全购彩 98彩票|官方网站 E乐彩-首页 快盈VIII-welcome